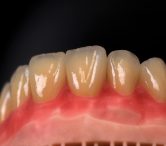
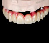
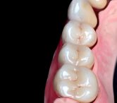
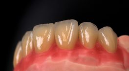
Тут представленні лише деякі наші роботиНаші роботи
Послуги



Ми спеціалізуємось на виготовленні безматалевих ортопедичних конструкцій за допомогою CAD/CAM систем. Працюємо тільки через Smile Creator та повний цифровий протокол для високоточного прогнозування Ваших пацієнтів. В своій роботі використовуємо тільки сертифіковані матеріали та оригінальну протетику.
Особливе значення ми надаємо індивідуальному підходу до лікаря і пацієнта. Завдяки творчим поглядам на естетику,відвторюємо природню красу посмішки, та завджи враховуємо вимоги та побажання, задля отримання досконалого результату. Ми працюємо на покращення зовнішності пацієнта та відновлення всіх природних функцій зубів.
Німецька та японська якість обладнання дозволяє нам досягти найточнішу, пасивну посадку на всіх видах реставрацій.
50+
задоволених клієнтів
1000+
відновленніх посмішок
10+
років досвіду
Weber.Lab – цифрова зуботехнічна лабораторіяв Україні, яка об’єднала мистецтво, новітні технології та медицину. Ми — проектувальники, креативщики та дизайнери зубів, які за допомогою нашої лабораторної концепції і найсучасніших технологій, гарантують створення ідеальної посмішки.
Німецька та японська якість обладнання дозволяє нам досягти найточнішу, пасивну посадку на всіх видах реставрацій. Досконалість та естетика, що покращують зовнішність пацієнта -наші головні пріоритети.
Працюємо тільки через Smile Creator для високоточного прогнозування Ваших пацієнтів.
Використовуємо тільки сертифіковані матеріали та оригінальну протетику.Кожна робота проходить контроль якості.

Враховуємо вимоги та побажання, задля отримання досконалого результату. Завдяки творчим поглядам на естетику,відвторюємо природню красу посмішки.
Систематизовані процеси виробництва дозволяють виконання роботи від 3 до 10 днів.